Supporting Products
| Name | Catalog # | Size |
|---|---|---|
| AlphaBioCoat Solution | AC001 | 20 ml |
| CAF Growth Media | CAFM03 | 500 ml |
| Cell Detachment Solution | ADF001 | 50 ml |
| Stem Cell Complete Low Serum Media | CAFM01 | 500 ml |
| Stem Cell Complete Media | CAFM02 | 500 ml |
- Product Reviews
Leave a review for this product and you could be eligible for a $10 Starbucks gift card.
- Product Publications
Product Publications
If you've used this product in a publication, let us know. Email david@neuromics.com, with the publication details and you could be eligible for an Amazon gift card.
- Related Products
Related Products
Images
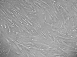
Human Colon Fibroblast in culture. Grown using Stem Cell Complete Media (cat. CAFM02)
Human Colon Fibroblast in culture. Grown using Stem Cell Complete Media (cat. CAFM02)






