Neuromics customized cell culture media are designed to work with our specific cell types for optimal growth. They are designed using precise combinations of amino acids, vitamins, glucose, and salts.
Our cell-specific, defined media and coatings are essential tools in cell culture, providing tailored environments that enhance the growth, functionality, and consistency of specific cell types for research, clinical, and industrial applications.
All media are prepared and manufactured in an ISO 9001:2015 certified environment and ISO 5 cleanroom.
Product Highlights:
- Media for Neurons and Related Cells
Neuromics defined media is customized for our primary neurons. It provides a consistent environment for the growth and maintenance of our neuronal cells in vitro.
Name Catalog # Type Species Applications Size Price Alpha-glia Expansion Medium AGEM-001 Cell Growth Media Human Cell Assays 500 ml $358.80 Astrocyte Basal Media PGB004 Cell Growth Media Human Cell Assays 500 ml $243.60 Astrocyte-Growth Media PGB003 Cell Growth Media Human Cell Assays 500 ml $272.40 Human Cortical Neuron Maturation Medium HNM007 Cell Growth Media Human Cell Assays 100 ml $485.00 Human Dopaminergic Neuron Maturation Medium HNM008 Cell Growth Media Human Cell Assays 100 ml $485.00 Human Glutamatergic Neuron Maturation Medium HNM005 Cell Growth Media Human Cell Assays 100 ml $485.00 Human Neural Stem Cell Growth Medium HNM010 Cell Growth Media Human Cell Assays 100 ml $439.00 Human Neuron Precursor Cells Growth Medium HNM012 Cell Growth Media Human Cell Assays 500 ml $492.00 Human Oligodendrocyte Progenitor cells (OPCs) Maintenance Media HOPMM-001 Cell Growth Media Human Cell Assays 100 ml. $820.00 Human Oligodendrocyte Progenitor cells (OPCs) Maintenance Media HOPMM-001 Cell Growth Media Human Cell Assays 100 ml. $820.00 Human Sensory Neuron Maturation Medium HNM006 Cell Growth Media Human Cell Assays 100 ml $485.00 IPSC Neuron Plating Medium HNM003 Cell Growth Media Human Cell Assays 500 ml $414.00 Motor Neuron Maintenance Medium Kit HNM013 Cell Growth Media Human Cell Assays 100 ml $690.00 Neural Cell Freezing Medium NCFM001 Cryopreservation Media Human Cell Assays 20 ml $274.80 Neuron Basal Medium HNM002 Cell Growth Media Human Cell Assays 500 ml $282.00 Neuron Growth Medium HNM001 Cell Growth Media Human Cell Assays 500 ml $309.60 Schwann Growth Medium SGM001 Cell Growth Media Human Cell Assays 500 ml $214.89 Terminal Neuronal Differentiation Medium NDN001 Cell Growth Media Human Adherent Cell Assays, Cell Assays, Cell Culturing System 100 ml. $535.00 Universal Neurite Outgrowth Media HNM004 Cell Growth Media Cell Assays 500 ml $615.00 - Media for Fibroblasts & Cancer Cells
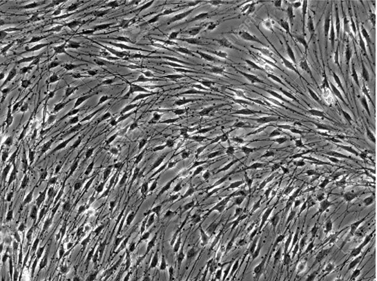
Neuromics' fibroblast media are specialized culture media designed to support the growth and maintenance of fibroblast cells, which are a type of cell found in connective tissues. It maximizes cult.ure potency and health
Name Catalog # Type Species Applications Size Price 1 X Trypsin-0.53mM EDTA Solution CCM006 Cell Assays 100 ml $43.20 AlphaBioCoat Precoated 100 mm Dishes AC001-100MM Cell Growth Media Human Cell Assays Pack of 10 $402.00 AlphaBioCoat Precoated 12-Well Plates AC001-12 Cell Growth Media Human Cell Assays Pack of 10 $352.80 AlphaBioCoat Precoated 150 mm Dishes AC001-150MM Cell Growth Media Human Cell Assays Pack of 10 $445.20 AlphaBioCoat Precoated 24-Well Plates AC001-24 Cell Growth Media Human Cell Assays Pack of 10 $390.00 AlphaBioCoat Precoated 35 mm Dishes AC001-35MM Cell Growth Media Human Cell Assays Pack of 10 $205.20 AlphaBioCoat Precoated 48-Well Plates AC001-48 Cell Growth Media Human Cell Assays Pack of 10 $562.80 AlphaBioCoat Precoated 6-Well Plates AC001-6 Cell Growth Media Human Cell Assays Pack of 10 $333.60 AlphaBioCoat Precoated 60 mm Dishes AC001-60MM Cell Growth Media Human Cell Assays Pack of 10 $279.60 AlphaBioCoat Precoated 96-Well Plates AC001-96 Cell Growth Media Human Cell Assays Pack of 10 $538.80 AlphaBioCoat Precoated T-175 Flasks AC001-T175 Cell Growth Media Human Cell Assays Pack of 10 $688.80 AlphaBioCoat Precoated T-25 Flasks AC001-T25 Cell Growth Media Human Cell Assays Pack of 10 $286.60 AlphaBioCoat Precoated T-75 Flasks AC001-T75 Cell Growth Media Human Cell Assays Pack of 10 $682.80 AlphaBioCoat Solution AC001 Cell Growth Media Human Cell Assays 20 ml $243.60 CAF Growth Media CAFM03 Cell Growth Media Human Cell Assays 500 ml $462.00 Cas9 Fibroblast Growth Media CAFM04 Cell Growth Media Human Cell Assays 500 ml $330.00 Cell Detachment Solution ADF001 Cell Growth Media Human Cell Assays 50 ml $70.80 Hepatic Stellate Cell Growth Medium HHSCM001 Cell Growth Media Human Cell Assays 500 ml $535.00 Human Plasma Fibronectin FB001 Cell Growth Media Human Cell Assays 1 mg $459.60 Immortalized Brain Vascular Fibroblast Growth Media FGM005 Cell Growth Media Human Cell Assays 500 ml $499.00 Immortalized Bronchial Fibroblast Growth Media FGM001 Cell Growth Media Human Cell Assays 500 ml $499.00 Immortalized Colon Fibroblast Growth Media FGM002 Cell Growth Media Human Cell Assays 500 ml $499.00 Immortalized Fibroblast Cryopreservation Media FGM007 Cryopreservation Media Human Cell Assays 20 ml $269.00 Immortalized Lung Fibroblast Growth Media FGM006 Cell Growth Media Human Cell Assays 500 ml $499.00 Immortalized Pancreatic Fibroblast Growth Media FGM003 Cell Growth Media Human Cell Assays 500 ml $499.00 Immortalized Prostate Fibroblast Growth Media FGM004 Cell Growth Media Human Cell Assays 500 ml $499.00 LN-319 Basal Medium CCM002 Cell Growth Media Human Cell Assays 500 ml $115.20 LN-319 Growth Medium CCM001 Cell Growth Media Human Cell Assays 500 ml $158.40 Lung Fibroblast Cell Medium CCM005 Cell Growth Media Human Cell Assays 500 ml $360.00 Neutralization Solution NS001 Cell Growth Media Human Cell Assays 50 ml $144.00 SF-295 Basal Medium CCM004 Cell Growth Media Human Cell Assays 500 ml $115.20 SF-295 Growth Medium CCM003 Cell Growth Media Human Cell Assays 500 ml $158.40 Stem Cell Complete Low Serum Media CAFM01 Cell Growth Media Human Cell Assays 500 ml $360.00 Stem Cell Complete Media CAFM02 Cell Growth Media Human Cell Assays 500 ml $403.20 Type 1 Diabetes Human Dermal Fibroblast Growth Medium FGM008 Cell Growth Media Human Cell Assays 500 ml $535.00 Universal Coating Solution AC002 Cell Growth Media Human Cell Assays 20 ml $272.40 Universal Detachment Solution AD002 Cell Growth Media Human Cell Assays 100 ml $108.00 Universal Full Growth Medium TM001 Cell Growth Media Human Cell Assays 500 ml $315.60 Universal Neutralization Buffer NB001 Cell Growth Media Human Cell Assays 100 ml $93.60 - Media for Human Endothelial Cells
Neuromics' defined media are designed to closely mimic the natural environment of primary human endothelial cells, promoting their optimal growth and function in vitro.
Name Catalog # Type Species Applications Size Price 1X Phosphate Buffer Solution PBS300 Cell Assays 100 ml $85.20 AlphaBioCoat Precoated 100 mm Dishes AC001-100MM Cell Growth Media Human Cell Assays Pack of 10 $402.00 AlphaBioCoat Precoated 12-Well Plates AC001-12 Cell Growth Media Human Cell Assays Pack of 10 $352.80 AlphaBioCoat Precoated 150 mm Dishes AC001-150MM Cell Growth Media Human Cell Assays Pack of 10 $445.20 AlphaBioCoat Precoated 24-Well Plates AC001-24 Cell Growth Media Human Cell Assays Pack of 10 $390.00 AlphaBioCoat Precoated 35 mm Dishes AC001-35MM Cell Growth Media Human Cell Assays Pack of 10 $205.20 AlphaBioCoat Precoated 48-Well Plates AC001-48 Cell Growth Media Human Cell Assays Pack of 10 $562.80 AlphaBioCoat Precoated 6-Well Plates AC001-6 Cell Growth Media Human Cell Assays Pack of 10 $333.60 AlphaBioCoat Precoated 60 mm Dishes AC001-60MM Cell Growth Media Human Cell Assays Pack of 10 $279.60 AlphaBioCoat Precoated 96-Well Plates AC001-96 Cell Growth Media Human Cell Assays Pack of 10 $538.80 AlphaBioCoat Precoated T-175 Flasks AC001-T175 Cell Growth Media Human Cell Assays Pack of 10 $688.80 AlphaBioCoat Precoated T-25 Flasks AC001-T25 Cell Growth Media Human Cell Assays Pack of 10 $286.60 AlphaBioCoat Precoated T-75 Flasks AC001-T75 Cell Growth Media Human Cell Assays Pack of 10 $682.80 AlphaBioCoat Solution AC001 Cell Growth Media Human Cell Assays 20 ml $243.60 Cas9 Endothelial Basal Media MED005 Cell Growth Media Human Cell Assays 500 ml $325.00 Cas9 Endothelial Growth Media MED004 Cell Growth Media Human Cell Assays 500 ml $400.00 Cell Detachment Solution ADF001 Cell Growth Media Human Cell Assays 50 ml $70.80 ENDO Basal Media MED002 Cell Growth Media Human Cell Assays 500 ml $172.80 ENDO-Growth Media MED001 Cell Growth Media Human Cell Assays 500 ml $344.40 ENDO-Growth Media Kit EGK001 Cell Growth Media Human Cell Assays 500 ml $344.40 ENDO-Growth Supplements EGS001 Cell Growth Media Human Cell Assays 25 ml $214.80 Endothelial Cryopreserve Media FM300 Cryopreservation Media Cell Assays 10 ml $229.20 Epithelial Cryopreserve Media FM301 Cryopreservation Media Cell Assays 20 ml $288.00 Human Epithelial Cell Basal Medium ECM002 Cell Growth Media Human Cell Assays 500 ml $194.40 Human Epithelial Cell Medium ECM001 Cell Growth Media Human Cell Assays 500 mL $301.20 Smooth Coat Solution SC300 Cell Growth Media Human Cell Assays 20 ml $229.20 Universal Tube Formation Media MED003 Cell Growth Media Cell Assays 500 ml $615.00 - Media For Human Pericytes
Name Catalog # Type Species Applications Size Price 1X Phosphate Buffer Solution PBS300 Cell Assays 100 ml $85.20 AlphaBioCoat Precoated 100 mm Dishes AC001-100MM Cell Growth Media Human Cell Assays Pack of 10 $402.00 AlphaBioCoat Precoated 12-Well Plates AC001-12 Cell Growth Media Human Cell Assays Pack of 10 $352.80 AlphaBioCoat Precoated 150 mm Dishes AC001-150MM Cell Growth Media Human Cell Assays Pack of 10 $445.20 AlphaBioCoat Precoated 24-Well Plates AC001-24 Cell Growth Media Human Cell Assays Pack of 10 $390.00 AlphaBioCoat Precoated 35 mm Dishes AC001-35MM Cell Growth Media Human Cell Assays Pack of 10 $205.20 AlphaBioCoat Precoated 48-Well Plates AC001-48 Cell Growth Media Human Cell Assays Pack of 10 $562.80 AlphaBioCoat Precoated 6-Well Plates AC001-6 Cell Growth Media Human Cell Assays Pack of 10 $333.60 AlphaBioCoat Precoated 60 mm Dishes AC001-60MM Cell Growth Media Human Cell Assays Pack of 10 $279.60 AlphaBioCoat Precoated 96-Well Plates AC001-96 Cell Growth Media Human Cell Assays Pack of 10 $538.80 AlphaBioCoat Precoated T-175 Flasks AC001-T175 Cell Growth Media Human Cell Assays Pack of 10 $688.80 AlphaBioCoat Precoated T-25 Flasks AC001-T25 Cell Growth Media Human Cell Assays Pack of 10 $286.60 AlphaBioCoat Precoated T-75 Flasks AC001-T75 Cell Growth Media Human Cell Assays Pack of 10 $682.80 AlphaBioCoat Solution AC001 Cell Growth Media Human Cell Assays 20 ml $243.60 Cell Detachment Solution ADF001 Cell Growth Media Human Cell Assays 50 ml $70.80 Pericyte Basal Media PGB002 Cell Growth Media Human Cell Assays 475 ml $243.60 Pericyte-Growth Media PGB001 Cell Growth Media Human Cell Assays 500 ml $272.40 - Media for Epithelial Cells
Media designed for human epithelial cells
Name Catalog # Type Species Applications Size Price Epithelial Cryopreserve Media FM301 Cryopreservation Media Cell Assays 20 ml $288.00 Human Epithelial Cell Basal Medium ECM002 Cell Growth Media Human Cell Assays 500 ml $194.40 Human Epithelial Cell Medium ECM001 Cell Growth Media Human Cell Assays 500 mL $301.20 - Media for Muscle Cells
Name Catalog # Type Species Applications Size Price AlphaBioCoat Solution AC001 Cell Growth Media Human Cell Assays 20 ml $243.60 Smooth Muscle Basal Medium SMCM001 Cell Growth Media Human Cell Assays 500 ml $180.00 Smooth Muscle Growth Medium SMCM002 Cell Growth Media Human Cell Assays 500 ml $358.80 Universal Detachment Solution AD002 Cell Growth Media Human Cell Assays 100 ml $108.00 Universal Neutralization Buffer NB001 Cell Growth Media Human Cell Assays 100 ml $93.60 - Coating Solution
For Cell Plating
Name Catalog # Type Species Applications Size Price AlphaBioCoat Precoated 100 mm Dishes AC001-100MM Cell Growth Media Human Cell Assays Pack of 10 $402.00 AlphaBioCoat Precoated 12-Well Plates AC001-12 Cell Growth Media Human Cell Assays Pack of 10 $352.80 AlphaBioCoat Precoated 150 mm Dishes AC001-150MM Cell Growth Media Human Cell Assays Pack of 10 $445.20 AlphaBioCoat Precoated 24-Well Plates AC001-24 Cell Growth Media Human Cell Assays Pack of 10 $390.00 AlphaBioCoat Precoated 35 mm Dishes AC001-35MM Cell Growth Media Human Cell Assays Pack of 10 $205.20 AlphaBioCoat Precoated 48-Well Plates AC001-48 Cell Growth Media Human Cell Assays Pack of 10 $562.80 AlphaBioCoat Precoated 6-Well Plates AC001-6 Cell Growth Media Human Cell Assays Pack of 10 $333.60 AlphaBioCoat Precoated 60 mm Dishes AC001-60MM Cell Growth Media Human Cell Assays Pack of 10 $279.60 AlphaBioCoat Precoated 96-Well Plates AC001-96 Cell Growth Media Human Cell Assays Pack of 10 $538.80 AlphaBioCoat Precoated T-175 Flasks AC001-T175 Cell Growth Media Human Cell Assays Pack of 10 $688.80 AlphaBioCoat Precoated T-25 Flasks AC001-T25 Cell Growth Media Human Cell Assays Pack of 10 $286.60 AlphaBioCoat Precoated T-75 Flasks AC001-T75 Cell Growth Media Human Cell Assays Pack of 10 $682.80 AlphaBioCoat Solution AC001 Cell Growth Media Human Cell Assays 20 ml $243.60 AlphaBioMatrix Solution HNM011 Cell Growth Media Cell Assays 20 ml $549.00 Neuro Coating Solution HNM009 Cell Growth Media Cell Assays 20 ml $439.00 Poly-D-lysine (0.1 mg/ml) PD001 Cell Growth Media Cell Assays 50 ml $115.00 Quick Coating Solution AC003 Cell Growth Media Human Cell Assays 20 ml $231.00 Smooth Coat Solution SC300 Cell Growth Media Human Cell Assays 20 ml $229.20 Universal Coating Solution AC002 Cell Growth Media Human Cell Assays 20 ml $272.40






