Our human endothelial cells have always been a particularly versatile tool for researchers. They have been used by neuroscientists to study the blood-brain barrier, diabetes researchers to study diabetic retinopathy, cancer researchers to study tumors, and much more. This week, another study was published using one of our many (see for yourself) types of endothelial cells. You can explore all publications using our endothelial cells here.
Image: A comparison of young and senescent HBMECs looking at DNA damage by staining with DAPI (top), numbers of actin stress fibers (middle), and CD31 expression (bottom)
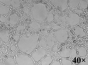
Our human brain microvascular endothelial cells (HBMECs) (cat. HEC02) were used by scientists at the University of Nottingham in a paper published earlier this week. In the study, the investigators grew our HBMECs until they became senescent with implications in vascular aging and other age-related diseases. They tested our cells to see if they could find any reliable biomarkers for vascular aging by looking at the senescent cells. They noted morphological and functional changes in the HBMECs as the passage number increased. Learn more here.
Bottom Image: Neuromics HBMECs forming tubules on Matrigel
As a reminder, all Neuromics human cells, including endothelial cells, are 15% off through the end of the year. You can learn more here. This includes all our primary cells, iPSC-derived cells, and cell lines. Any questions? - Please contact us.






