- Product Reviews
Leave a review for this product and you could be eligible for a $10 Starbucks gift card.
- Product Publications
Product Publications
If you've used this product in a publication, let us know. Email david@neuromics.com, with the publication details and you could be eligible for an Amazon gift card.
- Related Products
Related Products
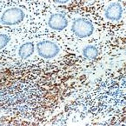
Images
CD43 (clone MT1) staining of paraffin embedded Human mantle cell lymphoma. Note intense membrane staining of tumor cells
CD43 (clone MT1) staining of paraffin embedded Human mantle cell lymphoma. Note intense membrane staining of tumor cells






