- Product Reviews
Leave a review for this product and you could be eligible for a $10 Starbucks gift card.
- Product Publications
Product Publications
If you've used this product in a publication, let us know. Email david@neuromics.com, with the publication details and you could be eligible for an Amazon gift card.
- Related Products
Related Products
Name Catalog # Size MAP2 GT22102 100 ul MAP2 (Microtubule assoc. protein 2) CH22103 50 ul MAP2 (Microtubule assoc. protein 2) MO22116 100 ul MAP2 (Microtubule Associated Protein 2) MO22208 100 ul MAP2 (Microtubule Associated Protein 2) RA22152 100 ul Tau MO22191 100 ul Tau MO47000 100 ul Tau /MAPT+ CH22113 100 ul
Images
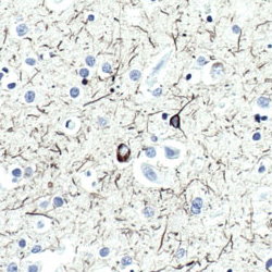
Tau staining of paraffin-embedded Alzheimer's brain.
Tau staining of paraffin-embedded Alzheimer's brain.
Western blot analysis of extracts from mouse and rat brain.
Western blot analysis of extracts from mouse and rat brain.






