- Product Reviews
Leave a review for this product and you could be eligible for a $10 Starbucks gift card.
- Product Publications
Product Publications
If you've used this product in a publication, let us know. Email david@neuromics.com, with the publication details and you could be eligible for an Amazon gift card.
- Related Products
Related Products
Name Catalog # Size Bradykinin Receptor B2 RA14137 100 ul CADM1/SynCAM RA25084 100 ul Calbindin CH22118 100 ul Calbindin MO20016 100 ug Calreticulin MO22164 100 ul Calretinin CH22116 100 ul Calretinin MO22166 100 ul Calretinin RA22144 100 ul Calretinin (IgG1) MO22165 100 ul CaMKII2A GT41019 100 ug EpCAM (Epithelial Cell Adhesion Molecule)/Epithelial Specific Antigen MO47063 100 ul MARCKS (Myristoylated Alanine Rich C Kinase Substrate) CH22137 100 ul MARCKS (Myristoylated Alanine Rich C Kinase Substrate) RA22111 100 ul Neurogranin precursor GT41024 100 ug phospho-Synapsin (Ser9) RA18009 100 ul S-100 MO47059 100 ul SHANK1a N-Terminus RA19015 100 ug Striatin RA25067 100 ul Synapsin RA18010 100 ul
Images
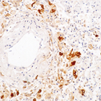
Calretinin staining of human mesotheliom. Note cytoplasmic staining of malignant cells. Paraffin section.
Calretinin staining of human mesotheliom. Note cytoplasmic staining of malignant cells. Paraffin section.






