- Product Reviews
Leave a review for this product and you could be eligible for a $10 Starbucks gift card.
- Product Publications
Product Publications
If you've used this product in a publication, let us know. Email david@neuromics.com, with the publication details and you could be eligible for an Amazon gift card.
- Related Products
Related Products
Images
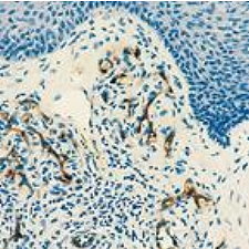
CD34 staining of human tonsil tissue. Note intense staining of neoplastic endothelial cells and absence of staining of stromal cells. Paraffin section
CD34 staining of human tonsil tissue. Note intense staining of neoplastic endothelial cells and absence of staining of stromal cells. Paraffin section






