- Product Reviews
Leave a review for this product and you could be eligible for a $10 Starbucks gift card.
- Product Publications
Product Publications
If you've used this product in a publication, let us know. Email david@neuromics.com, with the publication details and you could be eligible for an Amazon gift card.
- Related Products
Related Products
Images
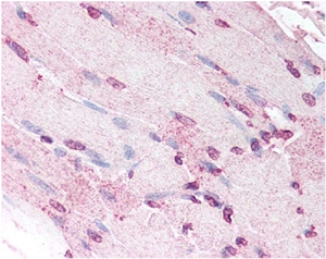
Defensin 5 staining of Human skeletal muscle myocytes showing moderate nuclear and faint cytoplasmic staining.
Defensin 5 staining of Human skeletal muscle myocytes showing moderate nuclear and faint cytoplasmic staining.






