Images

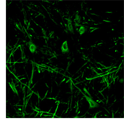
mGluR5 immunoreactivity in rat globus pallidus. Images courtesy of Dr. Joyce Besheer, UNC.

mGluR5 immunoreactivity in rat globus pallidus. Images courtesy of Dr. Joyce Besheer, UNC.

Questions?
We can help.

We are building our company one satisfied customer at a time. If you have any questions or concerns, please contact us.

Neuromics
5325 West 74th St., Suite 8
Edina, MN 55439

Toll free: 866-350-1500
Int’l phone: 952-374-6161
Fax: 612-677-3976