- Product Reviews
Leave a review for this product and you could be eligible for a $10 Starbucks gift card.
- Product Publications
Product Publications
If you've used this product in a publication, let us know. Email david@neuromics.com, with the publication details and you could be eligible for an Amazon gift card.
- Related Products
Related Products
Name Catalog # Size α-Internexin/NF 66 MO22102 100ul α-Internexin/NF 66 MO22154 100 ul ATPase Na+/K+ transporting alpha 1 MO25023 50 ul Doublecortin/DCX MO22113 100 ul GAP43 CH22132 100 ul GAP43 MO22118 100 ul GAP43 MO22170 100 µl GAP43 RA25086 100 ul GAP43 (IgG) MO22171 100 µl Laminin RA25038 100 ul Laminin 111 RA22121 100 ul MSX1/HOX7 GT41015 100 ug Nestin CH22123 100 ul Nestin MO22183 100 ug Nestin RA22125 100 ul Netrin-4 (NTN4) RA21023 50 ug Neurofilament alpha-internexin/NF66 CH22101 100 ul Neurofilament alpha-internexin/NF66 MO25017 500 ul Neurofilament alpha-internexin/NF66 RA22102 100 ul Notch3 RA19070 100 ug PAX-8 MO47029 100 ul PAX3 GT41025 100 ug Podoplanin MO47016 100 ul S-100 MO47059 100 ul SOX-2/SRY (sex determining region Y)-box 2 MO47038 100 ul SOX2 RA25021 100 ul SRY (Sex Determining Region Y)-Box 11/SOX-11 MO47052 100 ul Vimentin CH22108 100 ul Vimentin GT22103 100 ul Vimentin MO22115 100 ul Vimentin RA22124 100 ul
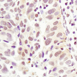
Images
AP-2α atining of paraffin-embedded human lung carcinoma
AP-2α atining of paraffin-embedded human lung carcinoma
Western blot analysis of extracts from various cell lines
Western blot analysis of extracts from various cell lines






