- Product Reviews
Leave a review for this product and you could be eligible for a $10 Starbucks gift card.
- Product Publications
Product Publications
If you've used this product in a publication, let us know. Email david@neuromics.com, with the publication details and you could be eligible for an Amazon gift card.
- Related Products
Related Products
Name Catalog # Size CSF1 (Colony Stimulating Factor 1) RA21013 50 ug
Images
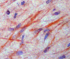
Immunohistochemical detection of CSF1 in formalin fixed human placenta. 12 μm paraffin-embedded tissue sections were incubated with rabbit polyclonal antibody to CSF1 at 10 μg/mL overnight at 4°C followed by HRP/AEC detection (red) and counterstaining with hematoxylin (blue).
Immunohistochemical detection of CSF1 in formalin fixed human placenta. 12 μm paraffin-embedded tissue sections were incubated with rabbit polyclonal antibody to CSF1 at 10 μg/mL overnight at 4°C followed by HRP/AEC detection (red) and counterstaining with hematoxylin (blue).
Western blot analysis using RA21014
Western blot analysis using RA21014






