- Product Reviews
Leave a review for this product and you could be eligible for a $10 Starbucks gift card.
- Product Publications
Product Publications
If you've used this product in a publication, let us know. Email david@neuromics.com, with the publication details and you could be eligible for an Amazon gift card.
- Related Products
Related Products
Name Catalog # Size ADAM15 RA21008 50 ug MMP2 (Matrix Mellatopeptidase 2), C terminal region RA21021 100 ug MMP9 (Matrix Mellatopeptidase 9), N terminal region RA21022 100 ug
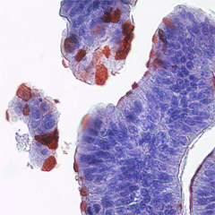
Images
Immunohistochemical detection of MMP1 in formalin fixed human ovarian carcinoma. 8 μm paraffin-embedded tissue sections were incubated with rabbit polyclonal antibody to MMP1 at 8 μg/mL overnight at 4°C followed by HRP/AEC detection (red) and counterstaining with hematoxylin (blue).
Immunohistochemical detection of MMP1 in formalin fixed human ovarian carcinoma. 8 μm paraffin-embedded tissue sections were incubated with rabbit polyclonal antibody to MMP1 at 8 μg/mL overnight at 4°C followed by HRP/AEC detection (red) and counterstaining with hematoxylin (blue).
Western blot analysis using RA21020
Western blot analysis using RA21020






