- Product Reviews
Leave a review for this product and you could be eligible for a $10 Starbucks gift card.
- Product Publications
Product Publications
If you've used this product in a publication, let us know. Email david@neuromics.com, with the publication details and you could be eligible for an Amazon gift card.
- Related Products
Related Products
Name Catalog # Size GluR2/AMPA2 RA30012 50 ug GluR4/AMPA4 GT41012 100 ug
Images
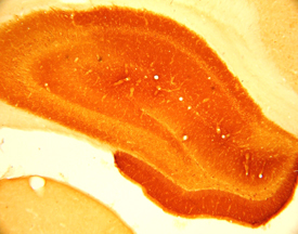
IHC image of neurons staining for GluR1 at low magnification of the rat hippocampus.
IHC image of neurons staining for GluR1 at low magnification of the rat hippocampus.






