- Product Reviews
Leave a review for this product and you could be eligible for a $10 Starbucks gift card.
- Product Publications
Product Publications
- Nataliia Kalynovska, Mickael Diallo, Dita Sotakova-Kasparova, and Jiri Palecek. (2020). Losartan Attenuates Neuroinflammation and Neuropathic Pain in Paclitaxel-Induced Peripheral Neuropathy. Journal of Cellular and Molecular Medicine. doi: 10.1111/jcmm.15427
- Shuhua Chen, Jun Ming Wang, Ronald W. Irwin, Jia Yao, Lifei Liu, Roberta Diaz Brinton. (2011). Allopregnanolone Promotes Regeneration and Reduces β-Amyloid Burden in a Preclinical Model of Alzheimer's Disease. PLoS ONE 6(8): e24293. doi: 10.1371/journal.pone.0024293
- Dan Yu, Bang-Bao Tao, Yun-Yun Yang, Li-Sha Du, Shuang-Shuang Yang, Xiao-Jie He, Yu-Wen Zhu, Jun-Kai Yan, Qing Yang. (2015). The IDO Inhibitor Coptisine Ameliorates Cognitive Impairment in a Mouse Model of Alzheimer's Disease. Clinical Neurology and Internal Medicine, Volume 43, Number 1/2015: 291-302. doi: 10.3233/JAD-140414
If you've used this product in a publication, let us know. Email david@neuromics.com, with the publication details and you could be eligible for an Amazon gift card.
- Related Products
Related Products
Images
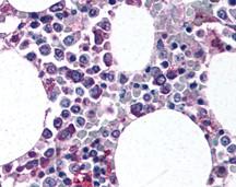
Immunohistochemistry: CD11b/c Antibody - Staining of human bone marrow, myeloid precursors
Immunohistochemistry: CD11b/c Antibody - Staining of human bone marrow, myeloid precursors






