- Product Reviews
Leave a review for this product and you could be eligible for a $10 Starbucks gift card.
- Product Publications
Product Publications
If you've used this product in a publication, let us know. Email david@neuromics.com, with the publication details and you could be eligible for an Amazon gift card.
- Related Products
Related Products
Images
GPR49 staining of HeLa cells (Green) detected with DyLight Fluor 488 conjugated anti-rabbit IgG secondary antibody. Nuclei are counterstained with Hoechst 33258 (Blue).
GPR49 staining of HeLa cells (Green) detected with DyLight Fluor 488 conjugated anti-rabbit IgG secondary antibody. Nuclei are counterstained with Hoechst 33258 (Blue).
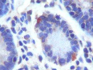
Immunohistochemical analysis of human small intestine using GPR49
Immunohistochemical analysis of human small intestine using GPR49
GPR49 FACS staining of NTERA-2 cells using at a 1:50 dilution detected using Dylight-488 conjugated goat anti-rabbit IgG secondary
GPR49 FACS staining of NTERA-2 cells using at a 1:50 dilution detected using Dylight-488 conjugated goat anti-rabbit IgG secondary






