- Product Reviews
Leave a review for this product and you could be eligible for a $10 Starbucks gift card.
- Product Publications
Product Publications
If you've used this product in a publication, let us know. Email david@neuromics.com, with the publication details and you could be eligible for an Amazon gift card.
- Related Products
Related Products
Name Catalog # Size Dkk-1 GT30000 50 ug Frizzled 7 RA30031 50 ug Frizzled 9 RA30032 50 ug Glypican-3 (GLP3) MO47069 100 ul Wnt10a RA30027 50 ug Wnt2b RA30030 50 ug Wnt8a RA30029 50 ug
Images
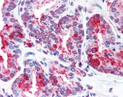
Wnt5b staining of Human Prostrate. Formalin-Fixed Paraffin-Embedded (FFPE).
Wnt5b staining of Human Prostrate. Formalin-Fixed Paraffin-Embedded (FFPE).






