- Product Reviews
Leave a review for this product and you could be eligible for a $10 Starbucks gift card.
- Product Publications
Product Publications
If you've used this product in a publication, let us know. Email david@neuromics.com, with the publication details and you could be eligible for an Amazon gift card.
- Related Products
Related Products
Name Catalog # Size Angiopoietin-1 (ANG-1) RA26000 100 ul Artemin RA19009 100 ul BDNF GT41014 100 ug CREB MO18006 100 ul CYR61 RA25061 100 ul FGF-2 MO27001 500 ug GATA3 MO47046 100 ug GDNF Receptor Alpha 3 RA30017 50 ug Her2/Neu MO47003 100 ul IGF1R (Insulin-Like Growth Factor Receptor 1) RA21017 50 ug KDR (Kinase Insert Domain Receptor) RA21018 50 ug Notch3 RA19070 100 ug PCNA MO20014 100 ul phospho-Kidins220 (ARMS) RA19020 100 ul phospho-TrkA(Tyr490) RA18018 100 ul pre-pro Enkephalin RA14142 50 ul PTGDS RA25023 100 ul RHEB RA30052 50 ug SMAD-2 RA21025 50 ug TGF beta MO20012 100 ul. TNFRSF1 (Tumor Necrosis Factor Receptor Superfamily, Member 1A), N terminal region RA21029 50 ug Transforming Growth Factor (TGF) beta 1, middle region RA21028 50 ug VEGF R2 (FLK1/KDR) RA25011 100 ul VEGF R3 (Flt-4) MO20013 100 ul Wnt10a RA30027 50 ug Wnt2b RA30030 50 ug Wnt8a RA30029 50 ug
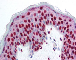
Images
Paraffin-embedded tissue sections of human skin stained with anti-Smad3.
Paraffin-embedded tissue sections of human skin stained with anti-Smad3.






