- Product Reviews
Leave a review for this product and you could be eligible for a $10 Starbucks gift card.
- Product Publications
Product Publications
If you've used this product in a publication, let us know. Email david@neuromics.com, with the publication details and you could be eligible for an Amazon gift card.
- Related Products
Related Products
Name Catalog # Size CARD8 RA30062 50 ug Caspase-14 RA30061 50 ug Caspase-3 (C terminal region) RA21011 50 ug Caspase-3 (N terminal region) RA21012 100 ug Caspase-7 MO25036 100 ul
Images
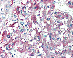
Human Adrenal tissue (formalin-fixed, paraffin-embedded) stained with CARD9 antibody at 5.0 ug/ml followed by Goat anti-rabbit IgG, Biotin-Catalog#:GT30001, alkaline phosphatase-streptavidin and chromogen.
Human Adrenal tissue (formalin-fixed, paraffin-embedded) stained with CARD9 antibody at 5.0 ug/ml followed by Goat anti-rabbit IgG, Biotin-Catalog#:GT30001, alkaline phosphatase-streptavidin and chromogen.






