- Product Reviews
Leave a review for this product and you could be eligible for a $10 Starbucks gift card.
- Product Publications
Product Publications
If you've used this product in a publication, let us know. Email david@neuromics.com, with the publication details and you could be eligible for an Amazon gift card.
- Related Products
Related Products
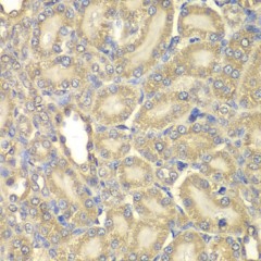
Images
Immunohistochemistry of paraffin-embedded rat kidney using MBP antibody at dilution of 1:200 (400x lens).
Immunohistochemistry of paraffin-embedded rat kidney using MBP antibody at dilution of 1:200 (400x lens).






