Supporting Products
- Product ReviewsWe ordered hBMECs and their customer service was very good. they were able to instantly most information I requested when debating on buying, and then additional information ad documentation when purchasing the cells. They even offered to look into doing further testing we desired. Overall quite satisfied.Rosalyn Hatlen - Jun 13, 2019 - Rating: 4.0We have ordered Brain derived Endothelial Cells or BECs. We could not find these in different companies, particularly from multiple donors. Overall, we are happy with the products.Ravi Dyavar - Apr 20, 2019 - Rating: 5.0
Leave a review for this product and you could be eligible for a $10 Starbucks gift card.
- Product Publications
Product Publications
- Kevin Chris Ziegler, Aydan Askarova, Charbel Gergian, Reuben M. Yaa, Janna D. van Dalen, Janis Lisa Transfeld, Filippo Zoppi, Jia Du, Daniel Clode, Fatemeh Rahbar, Rebecca E. Graham, Muralidharan Sargurupremraj, Stephanie Debette, David D. Gonda, Michael L. Levy, Siddharthan Chandran, Sven Falk, Marisa Karow, Paul M. Matthews, Nicole G. Coufal, and Alexi Nott. (2025). The Brain Neurovascular Epigenome and Its Association with Dementia. Neuron. doi: 10.1016/j.neuron.2025.10.001
- C. McAleese, G. Joudah, I.P. Salt, J.R. Petrie, J.M. Leiper, and Laura B. Dowsett. (2025). Heterogeneous Metabolic Response of Endothelial Cells from Different Vascular Beds to Experimental Hyperglycaemia and Metformin. The Journal of Physiology, 0.0, 1–17. doi: 10.1113/JP288006
- Jingyuan Ya, Alison Whitby, and Ulvi Bayraktutan. (2024). Metabolites and Metabolic Functional Changes—Potential Markers for Endothelial Cell Senescence. Biomolecules, 14(11), 1476. doi: 10.3390/biom14111476
- Arshad Hashmat, Jingyuan Ya, Rais Kadir, Mansour Alwjwaj, and Ulvi Bayraktutan. (2024). Hyperglycaemia Perturbs Blood-Brain Barrier Integrity Through Its Effects on Endothelial Cell Characteristics and Function. Tissue Barriers, 2350821. doi: 10.1080/21688370.2024.2350821
- Xin Gao and Ulvi Bayraktutan. (2023). TNF-α Evokes Blood-Brain Barrier Dysfunction through Activation of Rho-Kinase and Neurokinin 1 Receptor. Immunobiology, 228:(5), 152706. doi: 10.1016/j.imbio.2023.152706
- Xin Gao and Ulvi Bayraktutan. (2023). Substance P Reversibly Compromises the Integrity and Function of Blood-Brain Barrier. Peptides, 167: 171048. doi: 10.1016/j.peptides.2023.171048
- Roberta Avvisato, Pasquale Mone, Stanislovas S. Jankauskas, Fahimeh Varzideh, Urna Kansakar, Jessica Gambardella, Antonio De Luca, Alessandro Matarese, and Gaetano Santulli. (2023). miR-4432 Targets FGFBP1 in Human Endothelial Cells. Biology, 12(3), 459. doi: 10.3390/biology12030459
- Eunnyung Bae, Ping Huang, Gaёlle Müller-Greven, Dolores Hambardzumyan, Andrew Edward Sloan, Amy S. Nowacki, Nicholas Marko, Cathleen R. Carlin, and Candece L. Gladson. (2022). Integrin α3β1 Promotes Vessel Formation of Glioblastoma-Associated Endothelial Cells through Calcium-Mediated Macropinocytosis and Lysosomal Exocytosis. Nature Communications, 13:4268. doi: 10.1038/s41467-022-31981-2
- Tao Jin, Gong Chen, Qingzhu An, Xuanfeng Qin, Yuanyuan Hu, Yan Yan, Jia Hu, Bing Zhou, and Bing Leng. (2022). miR-139-5p Suppresses Proliferation and Angiogenesis of Intracranial Aneurysm via FGB.Journal of Healthcare Engineering. doi: 10.1155/2022/5824327
- Guetchyn Millien, Huaixing Wang, Zongxiu Zhang, Dan L Alkon, and Jarin Hongpaisan. (2022). PKCε Activation Restores Loss of PKCε, Manganese Superoxide Dismutase, Vascular Endothelial Growth Factor, and Microvessels in Aged and Alzheimer’s Disease Hippocampus.Frontiers in Aging Neuroscience. doi: 10.3389/fnagi.2022.836634
- Pasquale Mone, Jessica Gambardella, Antonella Pansini, Antonio de Donato, Giuseppe Martinelli, Eugenio Boccalone, Alessandro Matarese, Salvatore Frullone, and Gaetano Santulli. (2021). Cognitive Impairment in Frail Hypertensive Elderly Patients: Role of Hyperglycemia. Cells, 10(8), 2115. doi: 10.3390/cells10082115
- Pasquale Mone, Jessica Gambardella, Xujun Wang, Stanislovas S. Jankauskas, Alessandro Matarese, and Gaetano Santulli. (2021). miR-24 Targets the Transmembrane Glycoprotein Neuropilin-1 in Human Brain Microvascular Endothelial Cells. Non-coding RNA, 7, 9. doi: 10.3390/ncrna7010009
- Concetta Scimone, Luigi Donato, Simona Alibrandi, Teresa Esposito, Concetta Alafaci, Rosalia D'Angelo, and Antonina Sidoti. (2020). Transcriptome Analysis Provides New Molecular Signatures in Sporadic Cerebral Cavernous Malformation Endothelial Cells.Molecular Basis of Disease, 1866(12). doi: 10.1016/j.bbadis.2020.165956
- Yang Wu, Yan Li, Liangqing Zheng, Pengcheng Wang, Yan liu, Yongning Wu, ZhiYong Gonga (2019). The neurotoxicity of Nε-(carboxymethyl)lysine in food processing by a study based on animal and organotypic cell culture. Ecotoxicology and Environmental Safety. https://doi.org/10.1016/j.ecoenv.2019.110077
- Hyun-Jung Choi, Na-Eun Kim, Il Kwon, Dukhwan Choi, Jayoung Kim, Ji Hoe Heo. (2019). Fc-saxatilin inhibits VEGF-induced permeability by regulating claudin-5 expression in human brain microvascular endothelial cells. Microvascular Research. DOI: https://doi.org/10.1016/j.mvr.2019.103953
- Larry W. Hunter, Muthuvel Jayachandran and Virginia M. Miller (2019). Sex differences in the expression of cell adhesion molecules on microvesicles derived from cultured human brain microvascular endothelial cells treated with inflammatory and thrombotic stimuli. Biology of Sex Differences 201910:26. https://doi.org/10.1186/s13293-019-0241-y
- Ece Bayir, M. Mert Celtikoglu, Aylin Sendemir. (2018). The use of bacterial cellulose as a basement membrane improves the plausibility of the static in vitro blood-brain barrier model. International Journal of Biological Macromolecules. https://doi.org/10.1016/j.ijbiomac.2018.12.257
- Shavali Shaik, Bridget Kennis, Shinji Maegawa, Keri Schadler, Yang Yanwen, Keri Callegari, Rishi R. Lulla, Stewart Goldman, Javad Nazarian, Veena Rajaram, Jason Fangusaro, and Vidya Gopalakrishnan. (2018). REST upregulates gremlin to modulate diffuse intrinsic pontine glioma vasculature. Oncotarget. 2018 Jan 12; 9(4): 5233–5250. doi: 10.18632/oncotarget.23750
- Hu et al. (2016). Epigenetic Activation of WNT5A Drives Glioblastoma Stem Cell Differentiation and Invasive Growth. Cell. 167, 1281–1295. http://dx.doi.org/10.1016/j.cell.2016.10.039
Product Patent Application
- Kenneth M. Rosen, Matthew D. Abbinanti, Joerg Ruschel, Lisa Mckerracher, and Lisa Bond Moritz. (2020). Rho Kinase Inhibitor BA-1049 (R) and Active Metabolites Thereof. United States Patent Application 20200199105
If you've used this product in a publication, let us know. Email david@neuromics.com, with the publication details and you could be eligible for an Amazon gift card.
- Related Products
Related Products
Name Catalog # Size Cas9-Human Retinal Microvascular Endothelial Cells HEC09-CAS 500,000 Cells Human Brain Microvascular Endothelial Cells HEC02-T25 500,000+ Cells in T25 Flask Human Brain Microvascular Endothelial Cells Expressing GFP-AEQ in Mitochondria HEC02-GFP-AEQ 500,000 Cells Human Brain Microvascular Endothelial Cells Expressing VE-CAD-GFP HEC02-VE-CAD-GFP 500,000 Cells Human Retinal Microvascular Endothelial Cells HEC09 500,000+ Cells Frozen Human Retinal Microvascular Endothelial Cells HEC09-T25 500,000+ Cells in T25 Flask
Images
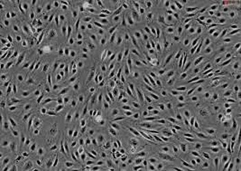
Human Brain Microvascular Endothelial Cells in Culture.
Human Brain Microvascular Endothelial Cells in Culture.
Human Brain Microvascular Endothelial Cells showing early tube formation in culture.
Human Brain Microvascular Endothelial Cells showing early tube formation in culture.
HBMECs stained with CD146
HBMECs stained with CD146
HBMECs stained with Claudin-5
HBMECs stained with Claudin-5
A microscope observed the progress in the development of HBMECs seeded in a microfluidic chip. (A) Fluorescent HBMECs 24 h after being seeded (B) HBMECs 48 h after being seeded shows cell extensions and differentiation gradually; (C, D) the vascular lumen 3D structures were formed along with cell proliferation (Green Fluorescence-Green fluorescence protein). Data courtesy of Yang Wu from Wuhan Polytechnic University (https://doi.org/10.1016/j.ecoenv.2019.110077)
A microscope observed the progress in the development of HBMECs seeded in a microfluidic chip. (A) Fluorescent HBMECs 24 h after being seeded (B) HBMECs 48 h after being seeded shows cell extensions and differentiation gradually; (C, D) the vascular lumen 3D structures were formed along with cell proliferation (Green Fluorescence-Green fluorescence protein). Data courtesy of Yang Wu from Wuhan Polytechnic University (https://doi.org/10.1016/j.ecoenv.2019.110077)






