Images
Tau-positive neurons (brown) in the hippocampus of a patient with Alzheimers disease dilution of 1:1000) using Fluorescein (FITC)-labeled anti-Chicken IgY(1:500 dilution, NeuromicsCatalog#:CH23101 ) as the secondary reagent.

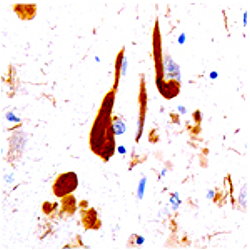
Tau-positive neurons (brown) in the hippocampus of a patient with Alzheimer's disease dilution of 1:1000) using Fluorescein (FITC)-labeled anti-Chicken IgY(1:500 dilution, Neuromics’ Catalog#:CH23101 ) as the secondary reagent.

Tau-positive neurons (brown) in the hippocampus of a patient with Alzheimers disease dilution of 1:1000) using Fluorescein (FITC)-labeled anti-Chicken IgY(1:500 dilution, NeuromicsCatalog#:CH23101 ) as the secondary reagent.

Tau-positive neurons (brown) in the hippocampus of a patient with Alzheimer's disease dilution of 1:1000) using Fluorescein (FITC)-labeled anti-Chicken IgY(1:500 dilution, Neuromics’ Catalog#:CH23101 ) as the secondary reagent.

Questions?
We can help.

We are building our company one satisfied customer at a time. If you have any questions or concerns, please contact us.

Neuromics
5325 West 74th St., Suite 8
Edina, MN 55439

Toll free: 866-350-1500
Int’l phone: 952-374-6161
Fax: 612-677-3976