- Product Reviews
Leave a review for this product and you could be eligible for a $10 Starbucks gift card.
- Product Publications
Product Publications
If you've used this product in a publication, let us know. Email david@neuromics.com, with the publication details and you could be eligible for an Amazon gift card.
- Related Products
Images
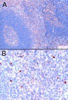
FOXP3 staining of staining of paraffin embedded Human Tonsil (dilution: 1µg/ml). Microwaved antigen retrieval with Tris/EDTA buffer pH9, HRP-staining. A) Nuclear staining of scattered cells in the interfollicular area. B) High magnification of positive cells. Protocol on data-sheet.
FOXP3 staining of staining of paraffin embedded Human Tonsil (dilution: 1µg/ml). Microwaved antigen retrieval with Tris/EDTA buffer pH9, HRP-staining. A) Nuclear staining of scattered cells in the interfollicular area. B) High magnification of positive cells. Protocol on data-sheet.






