Supporting Products
| Name | Catalog # | Size |
|---|---|---|
| Activin RIA | P41003 | 100 ug Blocking Peptide |
- Product Reviews
Leave a review for this product and you could be eligible for a $10 Starbucks gift card.
- Product Publications
Product Publications
If you've used this product in a publication, let us know. Email david@neuromics.com, with the publication details and you could be eligible for an Amazon gift card.
- Related Products
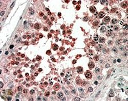
Images
staining of Activin RIA (dilution: 4 µg/ml) staining of paraffin embedded Human Testis. Steamed antigen retrieval with citrate buffer pH 6, AP-staining
staining of Activin RIA (dilution: 4 µg/ml) staining of paraffin embedded Human Testis. Steamed antigen retrieval with citrate buffer pH 6, AP-staining
Activin RIA (dilution: 0.3µg/ml) staining of Human Umbilical Cord lysate (35µg protein in RIPA buffer). Primary incubation was 1 hour. Detected by chemiluminescence.
Activin RIA (dilution: 0.3µg/ml) staining of Human Umbilical Cord lysate (35µg protein in RIPA buffer). Primary incubation was 1 hour. Detected by chemiluminescence.






