Supporting Products
| Name | Catalog # | Size |
|---|---|---|
| Dynactin 1 | P41007 | 100 ug Blocking Peptide |
- Product Reviews
Leave a review for this product and you could be eligible for a $10 Starbucks gift card.
- Product Publications
Product Publications
If you've used this product in a publication, let us know. Email david@neuromics.com, with the publication details and you could be eligible for an Amazon gift card.
- Related Products
Related Products
Images
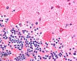
DCTN1 staining (dilution: 2.5µg/ml) staining of human brain tissue, cortex (formalin-fixed paraffin-embedded) followed by biotinylated horse anti-goat IgG secondary antibody, alkaline phosphatase-streptavidin and chromogen. Protocol on data-sheet.
DCTN1 staining (dilution: 2.5µg/ml) staining of human brain tissue, cortex (formalin-fixed paraffin-embedded) followed by biotinylated horse anti-goat IgG secondary antibody, alkaline phosphatase-streptavidin and chromogen. Protocol on data-sheet.
DCTN1 staining (dilution: 1µg/ml) of Human Testis lysate (RIPA buffer, 35µg total protein per lane). Primary incubated for 1 hour. Detected by western blot using chemiluminescence.
DCTN1 staining (dilution: 1µg/ml) of Human Testis lysate (RIPA buffer, 35µg total protein per lane). Primary incubated for 1 hour. Detected by western blot using chemiluminescence.






