Supporting Products
| Name | Catalog # | Size |
|---|---|---|
| Nicotinic acetylcholine receptor alpha7 | P41009 | 100 ug Blocking Peptide |
- Product Reviews
Leave a review for this product and you could be eligible for a $10 Starbucks gift card.
- Product Publications
Product Publications
If you've used this product in a publication, let us know. Email david@neuromics.com, with the publication details and you could be eligible for an Amazon gift card.
- Related Products
Related Products
Name Catalog # Size GABA A receptor alpha 4 GT41008 100 ug GABA A Receptor beta 3 GT41011 100 ug GABA Receptor Associated Protein RA19014 100 ug GluR2/AMPA2 RA30012 50 ug GluR4/AMPA4 GT41012 100 ug NMDA NR1 Pan MO25041 15 ug NMDA Receptor 1, N1 RA25036 25 ug NMDA Receptor 2A RA25037 100 ul NMDA Receptor 2B RA25063 100 ul P2X1 RA10107 50 ul P2X1 RA10107 150 ul P2X2 GP14106 50 ul P2X2 GP14106 150 ul P2X2 RA10108 50 ul P2X2 RA10108 150 ul P2X3-Pure RA14139 100 ul phospho-NMDA Receptor 1 (Ser890) RA18011 100 ul Phospho-NMDA Receptor 1 (Ser896) RA18012 100 ul
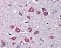
Images
Nicotinic acetylcholine receptor alpha7 staining of paraffin embedded Human Cortex. Steamed antigen retrieval with citrate buffer pH 6, AP-staining.
Nicotinic acetylcholine receptor alpha7 staining of paraffin embedded Human Cortex. Steamed antigen retrieval with citrate buffer pH 6, AP-staining.






