- Product Reviews
Leave a review for this product and you could be eligible for a $10 Starbucks gift card.
- Product Publications
Product Publications
If you've used this product in a publication, let us know. Email david@neuromics.com, with the publication details and you could be eligible for an Amazon gift card.
- Related Products
Related Products
Name Catalog # Size alpha Synuclein CH22139 100 ul alpha Synuclein MO22111 100 ul BACE1 RA21010 50 ug Beta-Synuclein RA22141 100 ul GABA A receptor alpha 4 GT41008 100 ug GABA A Receptor beta 3 GT41011 100 ug GABA Receptor Associated Protein RA19014 100 ug GluR2/AMPA2 RA30012 50 ug GluR4/AMPA4 GT41012 100 ug Nicotinic acetylcholine receptor alpha7 GT41009 100 ug NMDA NR1 Pan MO25041 15 ug NMDA Receptor 1, N1 RA25036 25 ug NMDA Receptor 2A RA25037 100 ul NMDA Receptor 2B RA25063 100 ul P2X1 RA10107 50 ul P2X1 RA10107 150 ul P2X2 GP14106 50 ul P2X2 GP14106 150 ul P2X2 RA10108 50 ul P2X2 RA10108 150 ul P2X3-Pure RA14139 100 ul p504s/AMACR (α-Methylacyl Coenzyme A Racemase) MO47014 100 ul phospho-NMDA Receptor 1 (Ser890) RA18011 100 ul Phospho-NMDA Receptor 1 (Ser896) RA18012 100 ul PSAP (Prostatic Specific Acid Phosphatase)/PAP MO47053 100 ul S-100 MO47059 100 ul Ubiquitin MO22152 100 ul Ubiquitin RA22154 100 ul
Images
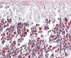
Laforin (dilution: 2.8 µg/ml) staining of paraffin embedded Human Cerebellum. Steamed antigen retrieval with citrate buffer pH 6, AP-staining. Protocol on data-sheet.
Laforin (dilution: 2.8 µg/ml) staining of paraffin embedded Human Cerebellum. Steamed antigen retrieval with citrate buffer pH 6, AP-staining. Protocol on data-sheet.
Laforin (dilution: 0.1µg/ml) staining of Human Cerebellum lysate (35µg protein in RIPA buffer). Primary incubation was 1 hour. Detected by chemiluminescence.
Laforin (dilution: 0.1µg/ml) staining of Human Cerebellum lysate (35µg protein in RIPA buffer). Primary incubation was 1 hour. Detected by chemiluminescence.






