- Product Reviews
Leave a review for this product and you could be eligible for a $10 Starbucks gift card.
- Product Publications
Product Publications
If you've used this product in a publication, let us know. Email david@neuromics.com, with the publication details and you could be eligible for an Amazon gift card.
- Related Products
Related Products
Name Catalog # Size Actin MO22125 100 ug GFAP CH22102 100 ul GFAP GT22107 100 ul GFAP MO22136 100 ul GFAP MO22205 100 ul GFAP RA22101 100 ul Glial Fibrillary Acidic Protein (GFAP) MO22101 100 ul GLUT1 RA25078 100 ul GLUT1 (Glucose Transporter Type I)/SCL2A1 MO47056 100 ul VCAM1/CD106 MO30006 50 ul Von Willebrand Factor (VWF) RA25102 0.1 ml ZO-1/TJP1 GT30002 100 ul
Images
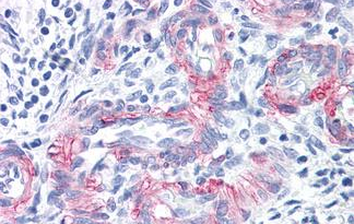
Anti-MCAM / CD146 antibody IHC of human vessels in human uterus. Immunohistochemistry of formalin-fixed, paraffin-embedded tissue after heat-induced antigen retrieval. Antibody concentration 20 ug/ml.
Anti-MCAM / CD146 antibody IHC of human vessels in human uterus. Immunohistochemistry of formalin-fixed, paraffin-embedded tissue after heat-induced antigen retrieval. Antibody concentration 20 ug/ml.






